Menu

ClearCorrect® clear aligners offer a modern and discreet orthodontic solution for achieving a straighter smile without traditional metal braces.

This advanced treatment utilises a series of custom-designed, clear aligners that gradually and comfortably shift teeth into their ideal positions. Designed for convenience, ClearCorrect® aligners are removable and virtually invisible, allowing patients to enhance their smiles without noticeable orthodontic appliances.

Whether addressing mild to moderate alignment concerns or refining the overall appearance of your teeth, ClearCorrect provides a tailored, effective solution. With a focus on innovation, precision, and patient comfort, ClearCorrect delivers a cutting-edge orthodontic experience that is both efficient and discreet.

Sutton Dental ClearCorrect

ClearCorrect

  • Clear, virtually invisible
  • Smooth and comfortable
  • Removable & easy to clean
  • Eat anything you want
Sutton Dental ClearCorrect

Traditional braces

  • Wires and brackets
  • Can decorate with colours
  • Colours can be changed at every visit
  • Non removable
VS

Achieve a straighter smile with ClearCorrect® clear aligners

ClearCorrect® provides an advanced, nearly invisible solution for individuals seeking an effective and discreet way to straighten their teeth. Unlike traditional metal braces, these custom-made aligners offer a subtle and convenient approach to orthodontic treatment.

Why choose ClearCorrect®?

  • Virtually Invisible – Clear aligners blend seamlessly with your natural smile, allowing discreet treatment.
  • Removable Convenience – Eat, drink, and maintain oral hygiene without restrictions.
    Enhanced Comfort – No metal brackets or wires, reducing irritation and discomfort.
  • Efficient Treatment – Faster results for mild to moderate alignment concerns, with treatment times ranging from 6 to 24 months.
  • Tailored to Your Needs – Whether you need minor adjustments or full-mouth alignment, ClearCorrect provides a personalised solution.

What to expect from clear aligners

ClearCorrect aligners are custom-crafted and worn in a precise sequence to gradually shift teeth into their optimal positions. Treatment duration depends on the complexity of your case—minor adjustments, such as aligning the front “social six” teeth, can take as little as six months, while full-mouth correction may take up to two years.

Your personalised orthodontic journey

We offer two leading clear aligner systems: ClearCorrect Clear Aligners and Smilelign Clear Aligners. During your consultation, your dentist will assess your needs and recommend the best option for your unique smile goals.

Take the first step toward a confident, healthy smile with ClearCorrect — the modern, comfortable, and lifestyle-friendly alternative to traditional braces.

Book a consultation

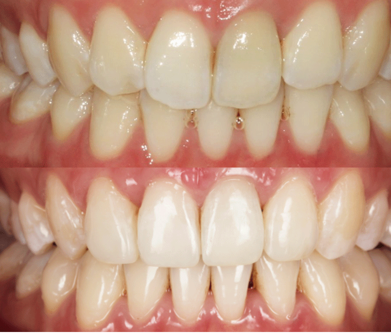
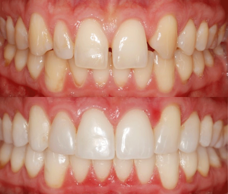
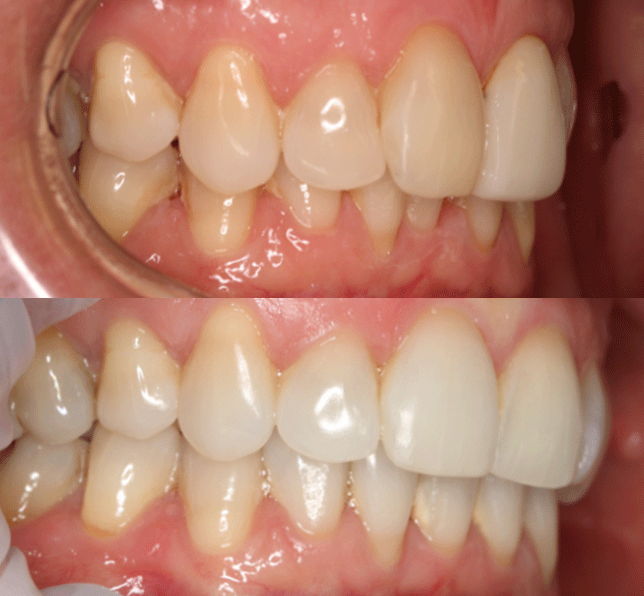
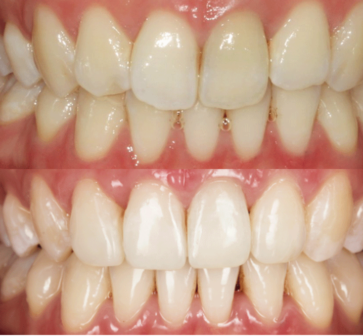
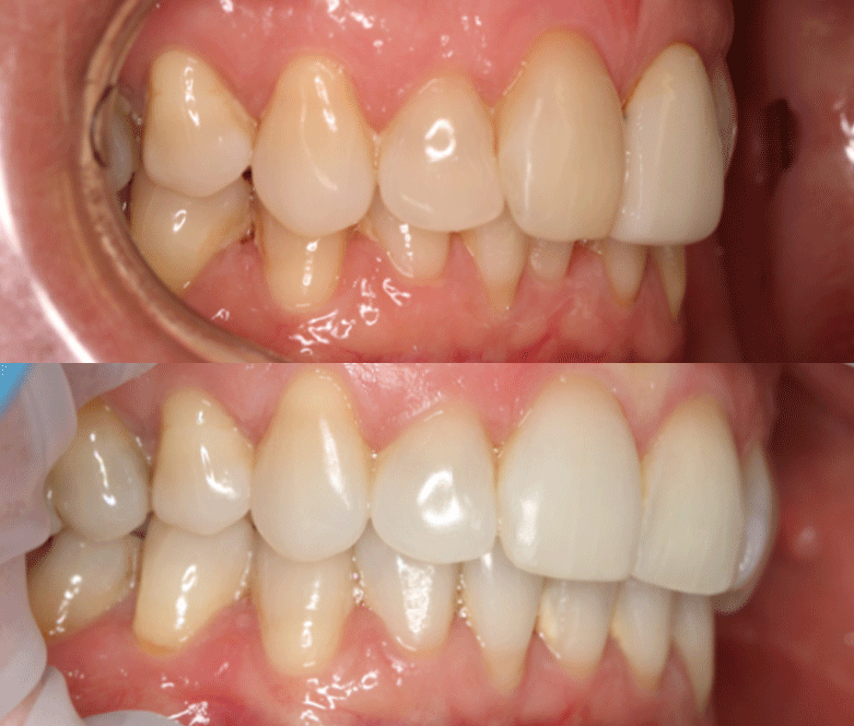
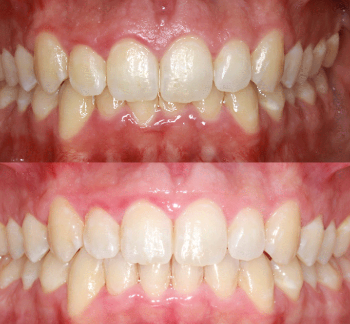
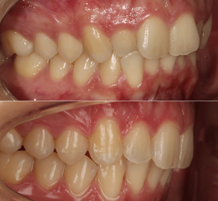
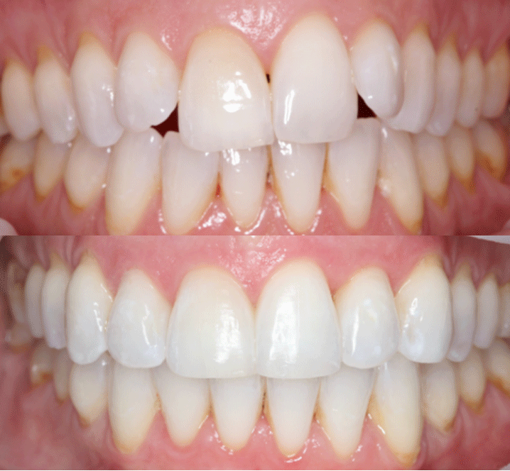
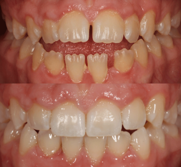
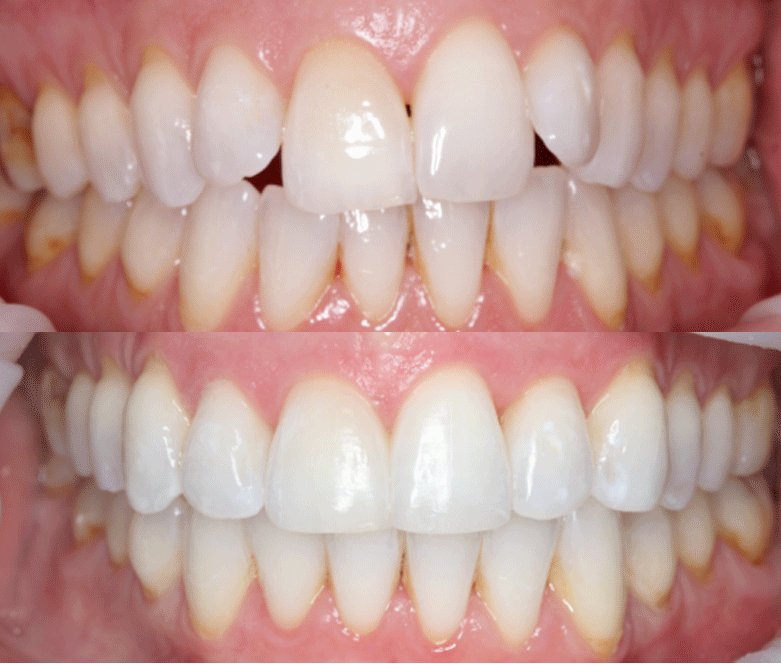
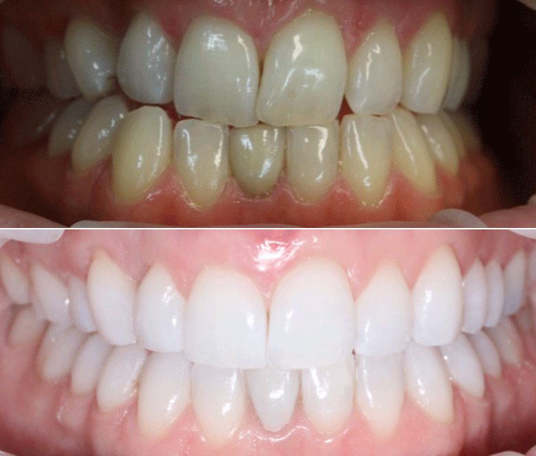
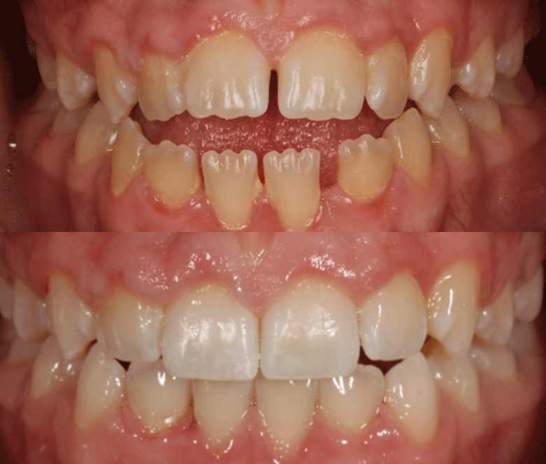
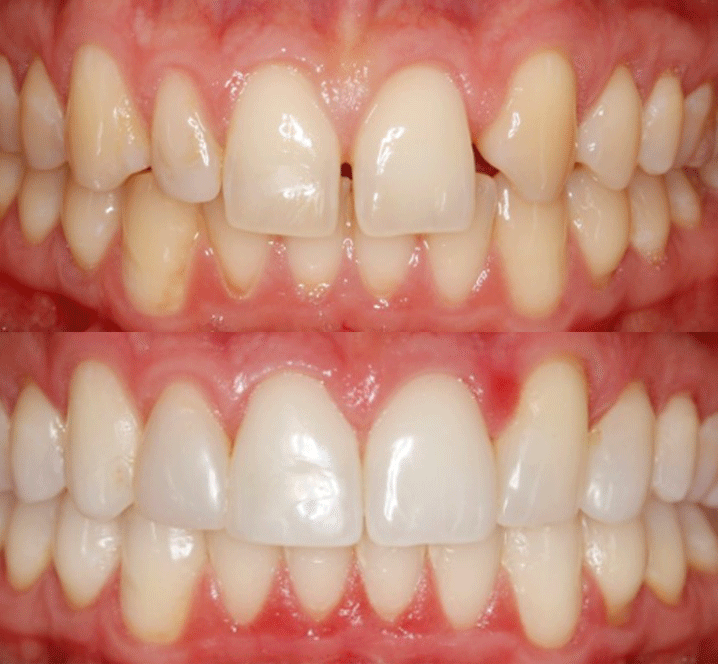
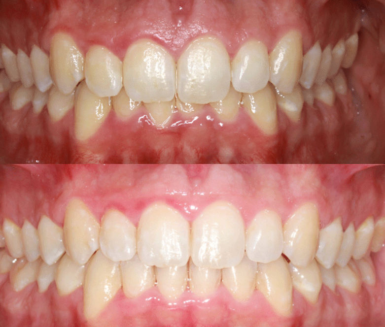
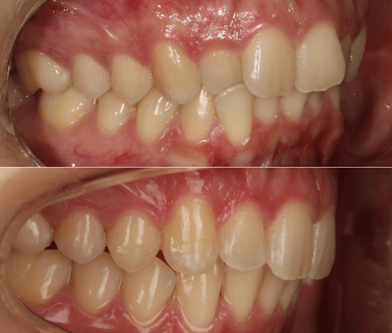
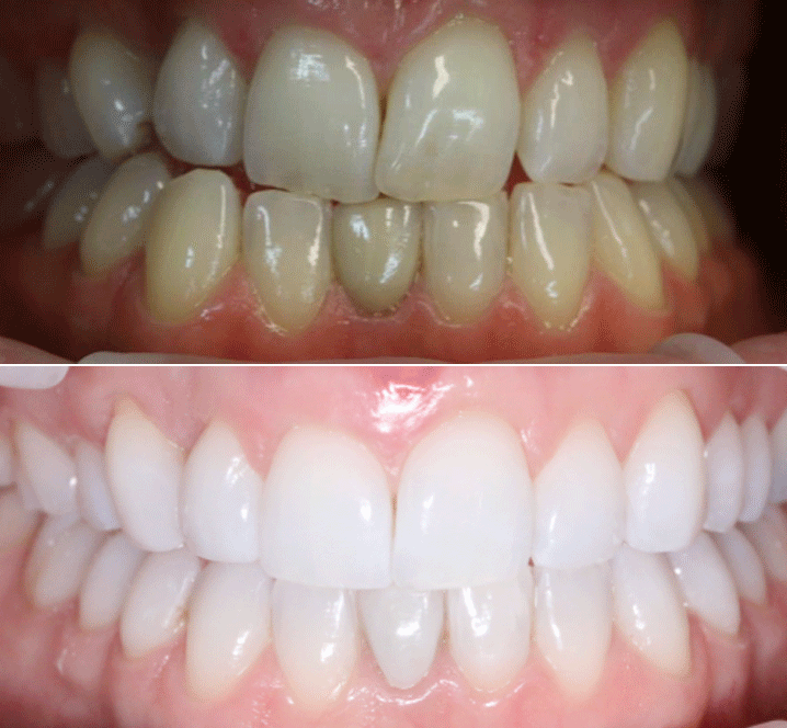
Smile gallery

Smile gallery

Comparison with ClearCorrect vs other treatments

Other clear aligners

Traditional braces

Made from SmartTrack material

check

In-person consultations with real dentists

check
check

Easily removable for eating, drinking & flossing*

check
check

Made from SmartTrack material

check

In-person consultations with real dentists

check

Easily removable for eating, drinking & flossing*

check

No emergency visits for broken wires

check

Virtually invisible

check

Made from traditional brackets and wires

check

Each aligner is trimmed to your gum line for optimal comfort and appearance**

check

Each aligner is trimmed to your gum line for optimal comfort and appearance**

check

Covered by many orthodontic insurance plans

check

Easily removable for eating, drinking & flossing*

check

No emergency visits for broken wires

check

Virtually invisible

check

Made from traditional brackets and wires

check

Each aligner is trimmed to your gum line for optimal comfort and appearance**

check

Each aligner is trimmed to your gum line for optimal comfort and appearance**

check

Covered by many orthodontic insurance plans

check

In-person consultations with real dentists

check

Made from traditional brackets and wires

check

Each aligner is trimmed to your gum line for optimal comfort and appearance**

check

Each aligner is trimmed to your gum line for optimal comfort and appearance**

check

Covered by many orthodontic insurance plans

check
Book a consultation

What can ClearCorrect® fix?

invisalign before after

Crossbite

A crossbite occurs when one or more upper teeth bite inside the lower teeth, which can happen at the front or sides of the mouth. This misalignment can lead to tooth wear, gum problems, and jaw discomfort. Treatment options like braces or clear aligners can help correct a crossbite and improve your bite and overall dental health.

invisalign before after

Crowding

Crowding happens when there isn't enough space in the mouth for all your teeth to fit properly, causing them to overlap or shift. This can lead to crooked teeth, difficulty cleaning between them, and potential oral health issues. Treatment, such as braces or clear aligners, can help align the teeth and improve both appearance and function.

invisalign before after

Deep bite

A deep bite occurs when the upper front teeth overlap the lower front teeth excessively, often covering them completely or nearly so. This misalignment can cause tooth wear, jaw discomfort, and gum issues. Treatment options like braces or clear aligners can help correct a deep bite, improving your bite and overall oral health.

invisalign before after

Edge to Edge

An edge-to-edge bite occurs when your upper and lower front teeth meet directly at their edges, rather than the upper teeth slightly overlapping the lower ones. This can cause tooth wear, discomfort, and increased risk of damage to your teeth. Treatment options like braces or clear aligners can help correct this bite, improving both function and appearance.

invisalign before after

Midline

A midline issue occurs when the centre of your upper teeth doesn’t align with the centre of your lower teeth. This misalignment can affect both your appearance and bite and may lead to discomfort or difficulty chewing. Treatment with braces or clear aligners can help correct the midline and improve your overall dental health.

invisalign before after

Open bite

An open bite occurs when your upper and lower teeth don't come together when you bite down, leaving a gap, often at the front or sides of your mouth. This can make it difficult to chew properly and affect your speech. Treatment options like braces or clear aligners can help close the gap and improve your bite and overall oral health.

invisalign before after

Overjet

An overjet occurs when your upper front teeth stick out farther than your lower front teeth, creating a noticeable gap. This can affect your bite, cause tooth wear, and lead to difficulty chewing or speaking. Treatment options, such as braces or clear aligners, can help correct the overjet and improve both your appearance and dental function.

invisalign before after

Spacing

Spacing refers to gaps or spaces between your teeth, which can occur due to missing teeth, small teeth, or differences in jaw size. While some spacing is natural, excessive gaps can affect your smile and may lead to oral health issues, such as difficulty cleaning between teeth. Treatment options like braces or clear aligners can help close the gaps and improve both the appearance and function of your teeth.

Book a consultation

Cost of ClearCorrect clear braces

Affordable ClearCorrect treatment

Many people worry about the cost of ClearCorrect aligners, and so we have devised a number of payment plans to help you afford the right treatment with ClearCorrect . ClearCorrect aligners from £2.50 per day with our finance options.

Learn more

FAQs

1. What is the treatment process?

The ClearCorrect® treatment requires patients to wear a series of clear aligners for 22 hours each day.

This treatment can take anywhere from six to 18 months to complete, depending on the severity of the misalignment.

2. What is ClearCorrect® treatment?

ClearCorrect® is a clear aligner system that utilises a series of custom-made, 3D-printed, removable aligners to gradually straighten teeth.

The aligners are made of a transparent plastic material, making them virtually invisible when worn.

3. How long do you wear ClearCorrect®?

For your ClearCorrect® treatment to be most effective, it’s important to wear your aligners for 20 to 22 hours a day (the closer to 22 hours, the better).

While this may seem like a lot, remember that it’s over 90% of your day – and wearing your aligners as much as possible will help you achieve the best results in the shortest amount of time.

Book a consultation

Testimonials

Google rating score of 4.9 out of 5,
based on
320+ reviews

star
google logo

I used to hate my wonky teeth—it made me so self-conscious that I stopped smiling. I decided to go for Invisalign, and I loved that...

Sophie C

star
google logo

When we first joined the practice, we were unhappy with our previous dentist—the organisation, service, and quality of treatment just weren’t what we expected. We...

Giles and Helen

star
google logo

I used to be scared of the dentist and had no confidence in my smile because of how my teeth looked. After reading the amazing...

Danny H

star
google logo

I was referred to the Sutton Coldfield clinic by my regular dentist because I needed Dental Implants for missing teeth at the back of my...

Stuart R

star
google logo

I chose this practice because I truly believed it was the best in the area for me and my family. During my time here, I’ve...

Grace C

star
google logo

I decided to join this practice because of the team and the skill set they have here in Sutton Coldfield. For a long time, I...

Luke W

star
google logo

I’ve been with this practice for over 30 years, and for as long as I can remember, I’ve never been happy with the appearance of...

Christina F

star
google logo

I was referred to the Sutton Coldfield clinic by my regular dentist for dental implants. I came in with four broken teeth that needed to...

Barry M

star
google logo

I used to hate my wonky teeth—it made me so self-conscious that I stopped smiling. I decided to go for...

Sophie C

star
google logo

When we first joined the practice, we were unhappy with our previous dentist—the organisation, service, and quality of treatment just...

Giles and Helen

star
google logo

I used to be scared of the dentist and had no confidence in my smile because of how my teeth...

Danny H

star
google logo

I was referred to the Sutton Coldfield clinic by my regular dentist because I needed Dental Implants for missing teeth...

Stuart R

star
google logo

I chose this practice because I truly believed it was the best in the area for me and my family....

Grace C

star
google logo

I decided to join this practice because of the team and the skill set they have here in Sutton Coldfield....

Luke W

star
google logo

I’ve been with this practice for over 30 years, and for as long as I can remember, I’ve never been...

Christina F

star
google logo

I was referred to the Sutton Coldfield clinic by my regular dentist for dental implants. I came in with four...

Barry M

FAQs

Frequently asked questions

What makes us different?

Sutton Dental & Implant Clinic is one of the best teeth whitening professionals in Sutton Coldfield. The company aims to improve the health and well-being of as many patients as possible while altering the way you think and feel about dentistry.

Keeping this cause at the forefront of everything we do gives us the focus and commitment to continually better ourselves and invest in the best dentistry.

So, if you are looking for a clinic that offers the best dental implants and professional teeth whitening near you, look no further than Sutton Dental & Implant Clinic.

What if I have a problem when the practice is closed?

What if I Have a Problem When the Practice Is Closed?

Please call our out-of-hours emergency number at +447387 587 303. We will triage your call, provide any necessary advice, and, if needed, meet you at the practice to address your emergency face-to-face.

This service runs from 9 am to 9 pm, seven days a week, 365 days a year! Better still, it’s entirely complimentary for all our members.

Do you have finance options?

Yes. We have a range of finance options, including several interest-free options, allowing you to spread the cost of your dental treatment over 12, 18 or 24 months.

Treatment is not inexpensive, and if you have been searching for dental implants near me prices, it can be disconcerting. However, our finance plans are all interest-free, so they won’t cost you any extra and allow you to start enjoying your new dental well-being now.

As you’d expect, finance plans are authorised and regulated by the Financial Conduct Authority for complete peace of mind.
For more information, please contact the practice and ask to speak with Louise, our treatment coordinator, who can guide you through the options.

What are your membership plans?

We offer a range of memberships tailored to individual needs. In essence, they all include two comprehensive 19-point assessments a year (one every six months) with a varying number of Airflow therapy appointments depending on your selected membership.

They also include a 20% discount on our treatment fees and emergency coverage even when the practice is closed. Click on the link below to find out more about our different plans:

Our Membership Plans

How can I become a member?

Becoming a member is easy.

Please call or email us, and a member of our team will assist you in getting signed up.

What's the current waiting time for treatments?

Consultations for new and existing patients can usually be arranged within a week. Future appointments can be booked at that time, ensuring a seamless journey from start to finish without any unnecessary delay.

Where is the practice?

We provide some of the best dental implants in Birmingham, specifically in Sutton Coldfield.

As a result, we may also be considered as an option for dental implants in Lichfield, Walsall, Aldridge, and other surrounding areas.

Directions

What payment methods do you accept?

We accept all major credit and debit cards, including American Express, Visa, and MasterCard. We also accept cash.

Interest-free finance options are also available.

Contact Us Online booking
Google Rating
4.9
Google Rating
Google-review