Menu

Boutique Teeth Whitening

Treatment Video Preview : Sutton Dental & Implant Clinic

Are you looking to refresh your smile? If you are considering teeth whitening in Birmingham, or more specifically, teeth whitening in Sutton Coldfield, you’re in the right place…

Sutton Dental Boutique Teeth Whitening

Are you looking to refresh your smile? If you are considering teeth whitening in Birmingham, or more specifically, teeth whitening in Sutton Coldfield, you’re in the right place…

Sutton Dental & Implant Clinic

Professional teeth whitening near me

Boutique whitening is a safe and effective whitening treatment only supplied by dental professionals. The process is simple, quick, and painless. To assess your suitability for boutique whitening, one of our dentists will need to complete a thorough consultation process to ensure your teeth and gums are healthy.

Once you have had your consultation and are all set to go, we will take a digital scan of your mouth (no gunky impression materials needed!). After two weeks, you can collect your lab-constructed whitening custom trays and boutique teeth whitening gel.

Sutton Dental Boutique Teeth Whitening

Sutton Dental & Implant Clinic – teeth whitening treatment near me

We will show you how to properly fit the trays and apply the gel, ensuring you have all the Boutique Whitening instructions you need to be able to whiten your teeth at home at your convenience.

As part of the package, we supply you with a full set of boutique whitening gel refills. Now, you have all the tools you need to achieve a beautiful and bright smile in the comfort of your own home!

Download our boutique whitening brochure below to learn more.

Download Now

Boutique whitening is suitable for

Who can have Boutique whitening?

Every person is different, so we would only be able to fully advise if you would be suitable for whitening following a consultation. Unfortunately, crowns, fillings, dentures, and bridges can’t be whitened, but they can be replaced at an additional cost to match the shade of your new teeth!

Maintaining your whiter smile

Boutique whitening maintenance is easy. Once you have the whole first cycle, it’s regular top-ups from there. We offer an affordable membership with annual top-ups included, ensuring your bright smile stays fresh all year round.

If you’re looking for the best teeth whitening in Birmingham, contact us today to schedule your consultation. Start your journey to a brighter, whiter smile today with the top teeth whitening treatment in Sutton Coldfield.

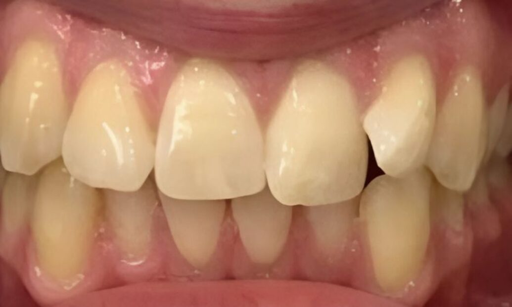
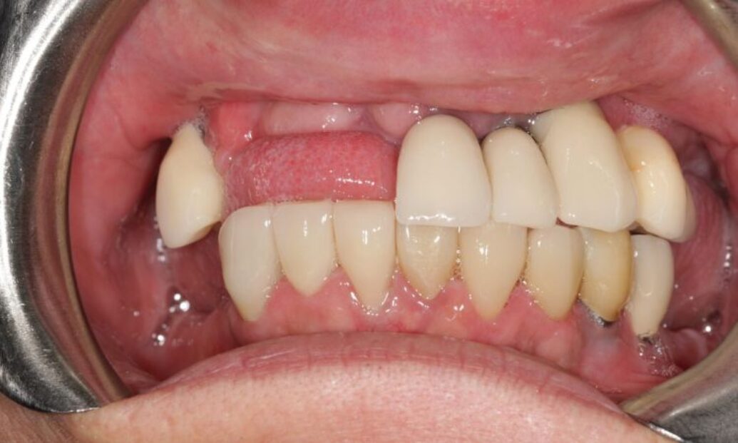
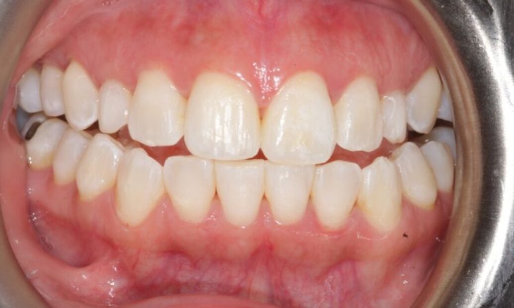
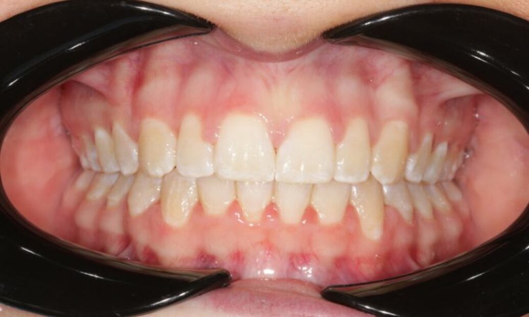
Smile gallery

Before and after cases

Cosmetic Dentistry

Why boutique teeth whitening

Sutton Dental Boutique Teeth Whitening
State-of-the-art facility
Professional and caring staff
Comfortable environment
Personalised care

FAQs

Frequently asked questions

Does boutique whitening cause sensitivity?

Boutique whitening doesn’t cause sensitivity; in fact, it does the opposite! The potassium nitrate and Amorphous Calcium Phosphate (ACP) in the gel help to relieve sensitivity, protect enamel, and improve the lustre of the teeth. So, sensitivity is certainly not something to worry about.

How much is boutique whitening?

Our boutique package for patients on our membership is discounted by 20% to £400. Make a huge saving now and chat with the team about our popular membership plans today.

Is boutique whitening safe?

When supervised by a dental professional, Boutique Whitening is entirely safe for your teeth and gums. We strongly advise you to avoid purchasing teeth whitening kits online, as these are often NOT regulated and therefore illegal, and we have seen some shocking damage to teeth and gums through illegal whitening kits!

Always consult with your dentist.

If you have any questions, our professional teeth whitening team in Sutton Coldfield will advise you about the best course of action and guide you every step of the way.

Contact Us Book a consultation
Google Rating
4.9
Google Rating
Google-review