Menu
Sutton Dental Case 12 before Sutton Dental Case 12 After
Before After

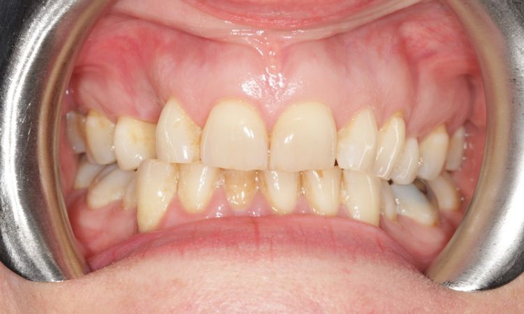
Case 12

This patient came to us seeking a brighter, fresher smile. There were no significant concerns—just a desire to lift the natural shade and refresh their overall appearance.

We recommended a course of Boutique Whitening, a professional at-home whitening treatment that’s both safe and highly effective. The patient followed the whitening protocol as advised, and the results were fantastic, delivering a noticeably brighter smile while maintaining a natural look.

A simple treatment with a significant impact, this case is a perfect example of how professional whitening can boost confidence and enhance your smile with minimal intervention.

Would you like to achieve a similar result for your smile? Call us today on:
Contact us telephone telephone 0121 354 1922
Back to Smile Gallery

Got questions?

Reach out to our dental team

Treatments

Experience dentistry like never before

General Dentistry

Your dental health in our hands

Learn more

Cosmetic Dentistry

Improving smiles naturally

Learn more

Dental Implants

Experience and treatment with a difference

Learn more

Facial Aesthetics

Start afresh with facial rejuvenation

Learn more

General Dentistry

Your dental health in our hands

Learn more

Cosmetic Dentistry

Improving smiles naturally

Learn more

Dental Implants

Experience and treatment with a difference

Learn more

Facial Aesthetics

Start afresh with facial rejuvenation

Learn more

Testimonials

Google rating score of 4.9 out of 5,
based on
320+ reviews

star
google logo

I used to hate my wonky teeth—it made me so self-conscious that I stopped smiling. I decided to go for Invisalign, and I loved that...

Sophie C

star
google logo

When we first joined the practice, we were unhappy with our previous dentist—the organisation, service, and quality of treatment just weren’t what we expected. We...

Giles and Helen

star
google logo

I used to be scared of the dentist and had no confidence in my smile because of how my teeth looked. After reading the amazing...

Danny H

star
google logo

I was referred to the Sutton Coldfield clinic by my regular dentist because I needed Dental Implants for missing teeth at the back of my...

Stuart R

star
google logo

I chose this practice because I truly believed it was the best in the area for me and my family. During my time here, I’ve...

Grace C

star
google logo

I decided to join this practice because of the team and the skill set they have here in Sutton Coldfield. For a long time, I...

Luke W

star
google logo

I’ve been with this practice for over 30 years, and for as long as I can remember, I’ve never been happy with the appearance of...

Christina F

star
google logo

I was referred to the Sutton Coldfield clinic by my regular dentist for dental implants. I came in with four broken teeth that needed to...

Barry M

star
google logo

I used to hate my wonky teeth—it made me so self-conscious that I stopped smiling. I decided to go for...

Sophie C

star
google logo

When we first joined the practice, we were unhappy with our previous dentist—the organisation, service, and quality of treatment just...

Giles and Helen

star
google logo

I used to be scared of the dentist and had no confidence in my smile because of how my teeth...

Danny H

star
google logo

I was referred to the Sutton Coldfield clinic by my regular dentist because I needed Dental Implants for missing teeth...

Stuart R

star
google logo

I chose this practice because I truly believed it was the best in the area for me and my family....

Grace C

star
google logo

I decided to join this practice because of the team and the skill set they have here in Sutton Coldfield....

Luke W

star
google logo

I’ve been with this practice for over 30 years, and for as long as I can remember, I’ve never been...

Christina F

star
google logo

I was referred to the Sutton Coldfield clinic by my regular dentist for dental implants. I came in with four...

Barry M

FAQs

Frequently asked questions

What makes us different?

Sutton Dental & Implant Clinic is one of the best teeth whitening professionals in Sutton Coldfield. The company aims to improve the health and well-being of as many patients as possible while altering the way you think and feel about dentistry.

Keeping this cause at the forefront of everything we do gives us the focus and commitment to continually better ourselves and invest in the best dentistry.

So, if you are looking for a clinic that offers the best dental implants and professional teeth whitening near you, look no further than Sutton Dental & Implant Clinic.

What if I have a problem when the practice is closed?

What if I Have a Problem When the Practice Is Closed?

Please call our out-of-hours emergency number at +447387 587 303. We will triage your call, provide any necessary advice, and, if needed, meet you at the practice to address your emergency face-to-face.

This service runs from 9 am to 9 pm, seven days a week, 365 days a year! Better still, it’s entirely complimentary for all our members.

Do you have finance options?

Yes. We have a range of finance options, including several interest-free options, allowing you to spread the cost of your dental treatment over 12, 18 or 24 months.

Treatment is not inexpensive, and if you have been searching for dental implants near me prices, it can be disconcerting. However, our finance plans are all interest-free, so they won’t cost you any extra and allow you to start enjoying your new dental well-being now.

As you’d expect, finance plans are authorised and regulated by the Financial Conduct Authority for complete peace of mind.
For more information, please contact the practice and ask to speak with Louise, our treatment coordinator, who can guide you through the options.

What are your membership plans?

We offer a range of memberships tailored to individual needs. In essence, they all include two comprehensive 19-point assessments a year (one every six months) with a varying number of Airflow therapy appointments depending on your selected membership.

They also include a 20% discount on our treatment fees and emergency coverage even when the practice is closed. Click on the link below to find out more about our different plans:

Our Membership Plans

How can I become a member?

Becoming a member is easy.

Please call or email us, and a member of our team will assist you in getting signed up.

What's the current waiting time for treatments?

Consultations for new and existing patients can usually be arranged within a week. Future appointments can be booked at that time, ensuring a seamless journey from start to finish without any unnecessary delay.

Where is the practice?

We provide some of the best dental implants in Birmingham, specifically in Sutton Coldfield.

As a result, we may also be considered as an option for dental implants in Lichfield, Walsall, Aldridge, and other surrounding areas.

Directions

What payment methods do you accept?

We accept all major credit and debit cards, including American Express, Visa, and MasterCard. We also accept cash.

Interest-free finance options are also available.

Contact Us Online booking
Google Rating
4.9
Google Rating
Google-review